EthOss grafting in fully guided implant placement case with Paltop Guided Implant System. Female 51-year-old patient, non-smoker, non-contributory medical history. Extraction of fractured and infected 26 carried out 10 months ago. Digital planning showed possible buccal defect, so flap raised and grafting was necessary.
Case by Dr Minas Leventis DDS, MSc, PhD, Research Manager of ethoss
Scarsdale Dental and Implant Clinic, Kensington, London, UK
Digital protocol and digital surgical guide designed by Ariston Dental, in cooperation with Dr. Minas Leventis.
EthOss grafting in fully guided implant placement case with Paltop Guided Implant System. Female 51-year-old patient, non-smoker, non-contributory medical history. Extraction of fractured and infected 26 carried out 10 months ago. Digital planning showed possible buccal defect, so flap raised and grafting was necessary. As expected the buccal bone defect shown on the CBCT was not an actual dehiscence defect, just thin immature bone. In any case the buccal concavity was grafted as usual with EthOss. Very precise, quick and minimally invasive procedure.
Initial clinical view. Ten months post-extraction.
Custom surgical guide for fully guided placement.
Guide in place.
No need for spoons as sleeve attached on the special NSK handpiece which is included in the kit.
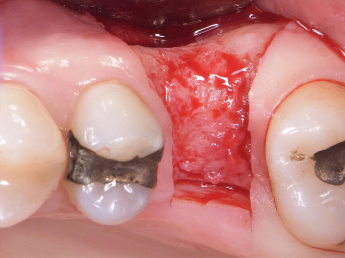
Buccal defect, need to raise a flap.
Site-specific papilla-sparing flap.
Buccal concavity.
Implant in place with the driver.
No implant threads exposed.
Grafted with EthOss. No membranes used.
Sutured with Vicryl 5-0.
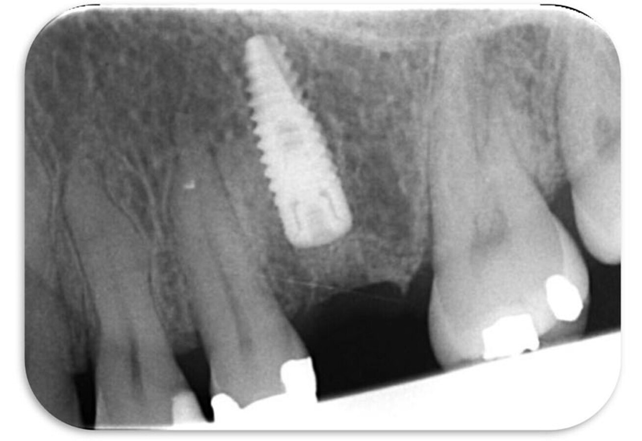
PA x-ray immediately post-op.
Looks spot on.
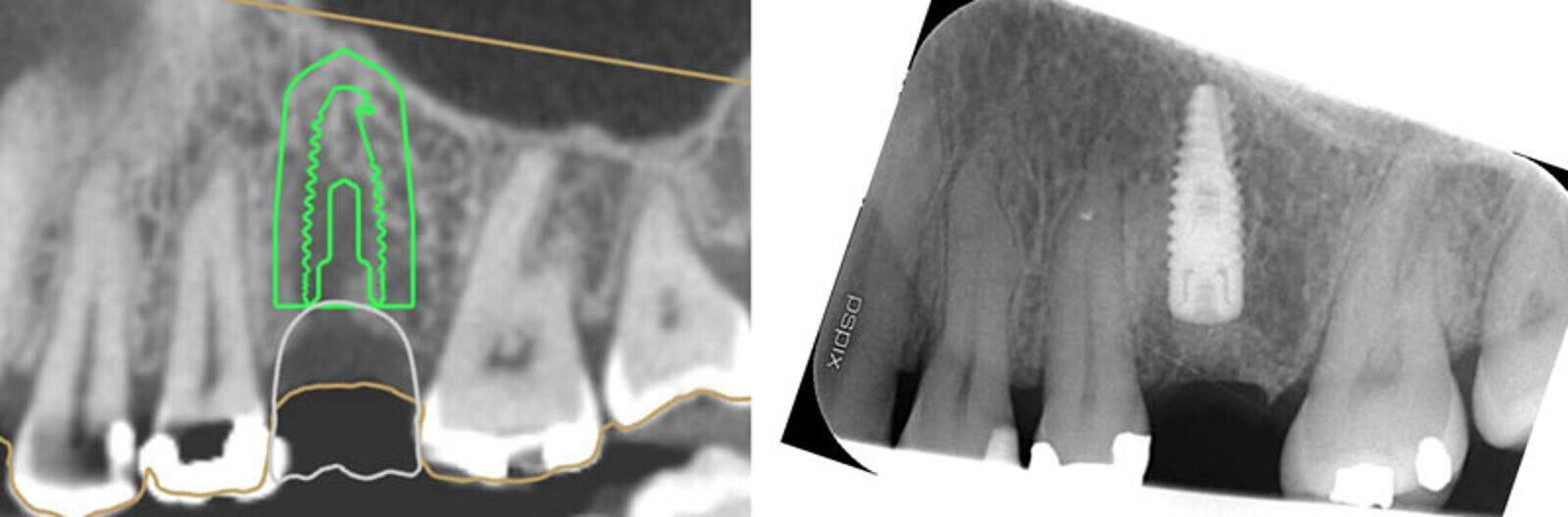
Check the video from the digital planning and designing process.
This standardized protocol allows successful long-term functional results regarding alveolar bone regeneration and implant rehabilitation. The concept of ...
In health, the attached gingiva overlying a tooth serves a protective function. As we age, or as a result of gum disease, the position of the “gum”, or ...
Restoration of a mandibular first molar with an all-ceramic partial crown in a single treatment session is described in the present case. The Cerec 3D ...
To post a reply please login or register