In health, the attached gingiva overlying a tooth serves a protective function. As we age, or as a result of gum disease, the position of the “gum”, or attached gingiva, will become more apical. Over time receding gum tissue will result in exposure of the soft root structure of the tooth. This will make the tooth susceptible to root decay, sensitivity (chemical and temperature), and periodontal problems. Once soft tissue is lost, it will not regenerate. Many surgical procedures exist to correct the loss of tissue covering the root surface. Most involve the use of autograft tissue. To successfully restore gum to its physiologically protective position, many factors must be considered: position of the tooth, available attached gingiva, amount of bone support for the soft tissue, esthetics, and health of the patient.
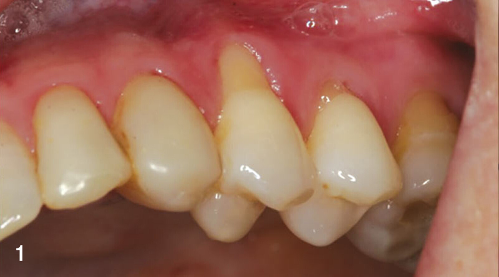
In this case, a patient with severe gum recession was treated with soft tissue allograft. Gum recession was seen in the upper left first bicuspid, and adjacent areas not needing immediate attention. (Fig 1).
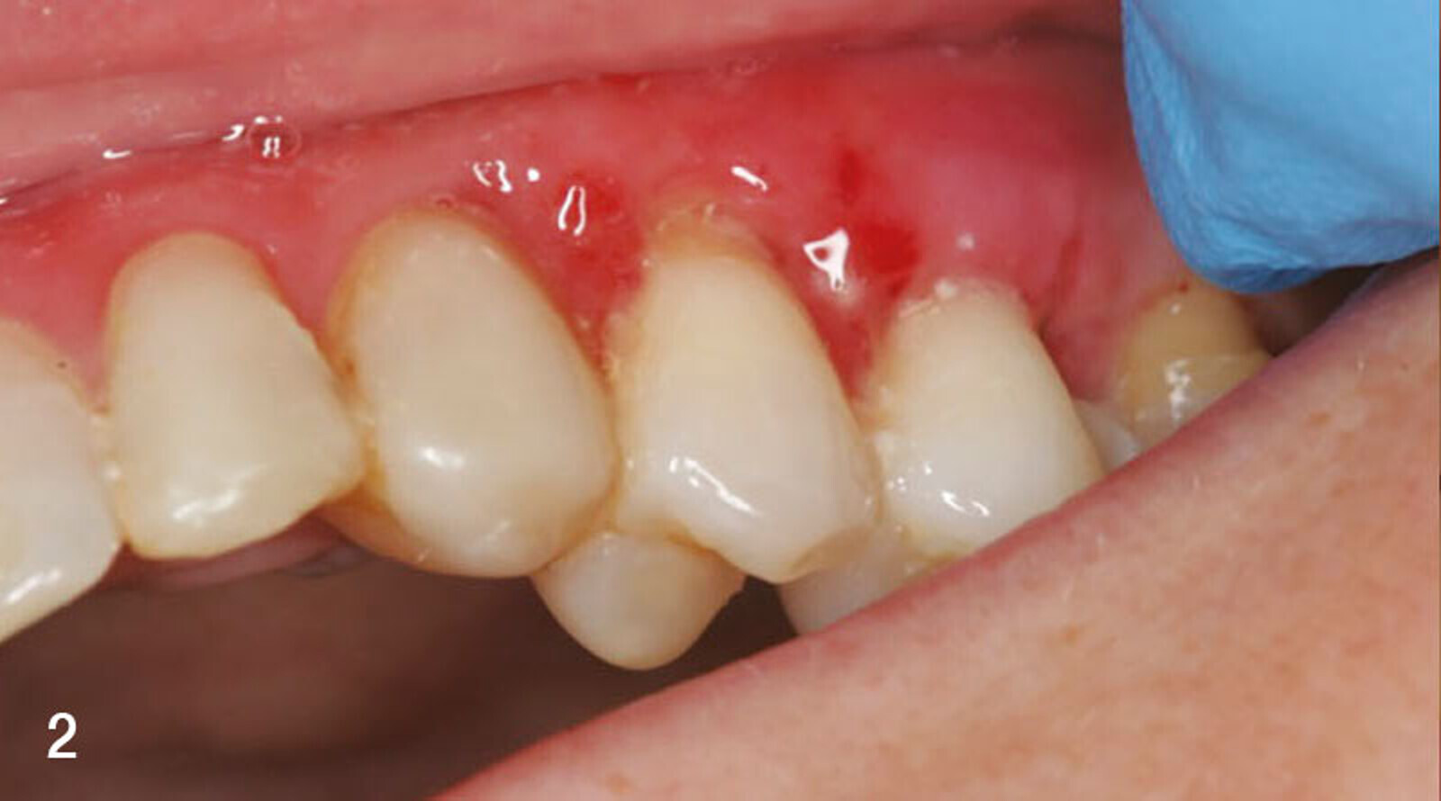
Step one of treatment was for the patient to alter brushing technique to eliminate mechanical trauma. The next phase was surgical, including local anesthesia with aggressive cleaning of the roots of teeth 20, 21, and 22, followed by tetracycline application. Incisions were made on the facial aspect of #s 12, and 13, extending mesially and distally on the buccal side at the base of the papillae. Partial thickness dissection carried into the vestibule for necessary extension thus releasing the muscle pull on #12. OrACELL was sutured over the facial surface, and the buccal flap was sutured over the graft. A periodontal dressing was used to protect the graft. Most of sutures removed at 2 weeks; however some remained functional and were left (Fig 2)
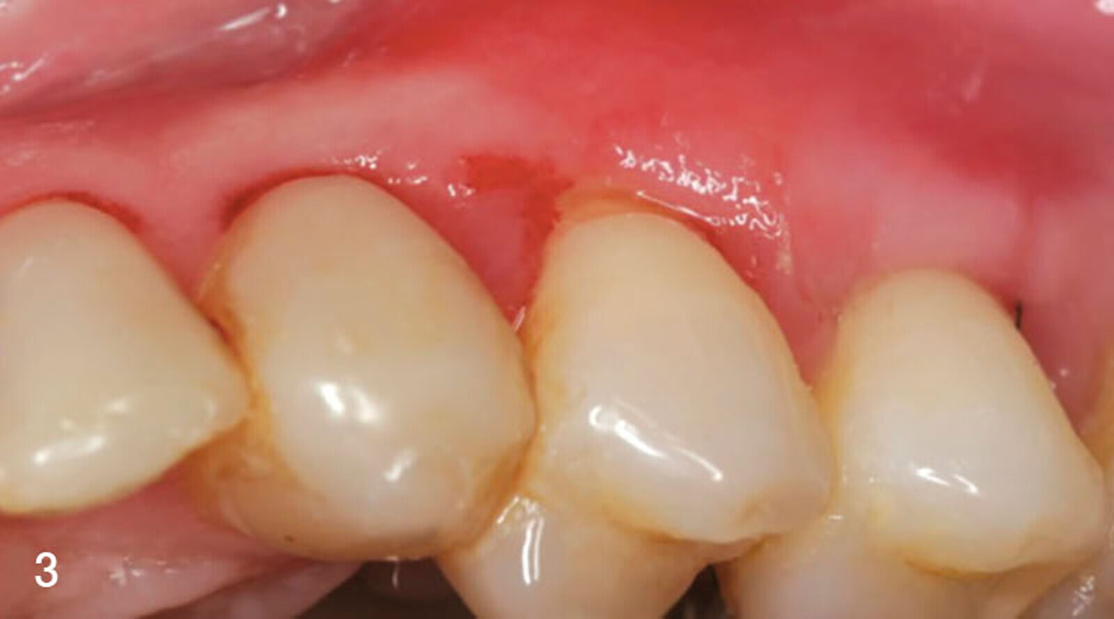
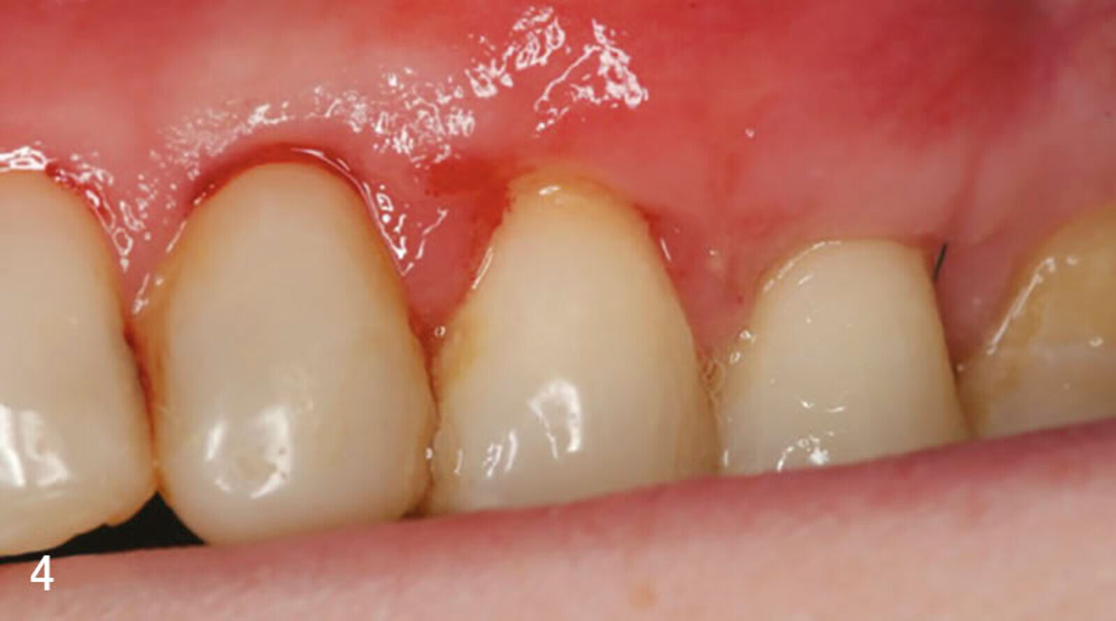
Excellent healing was seen at the 4 week follow-up; however, some OrACELL was protruding from free gingival region in area between #12 and #13 (Figs 3-4).
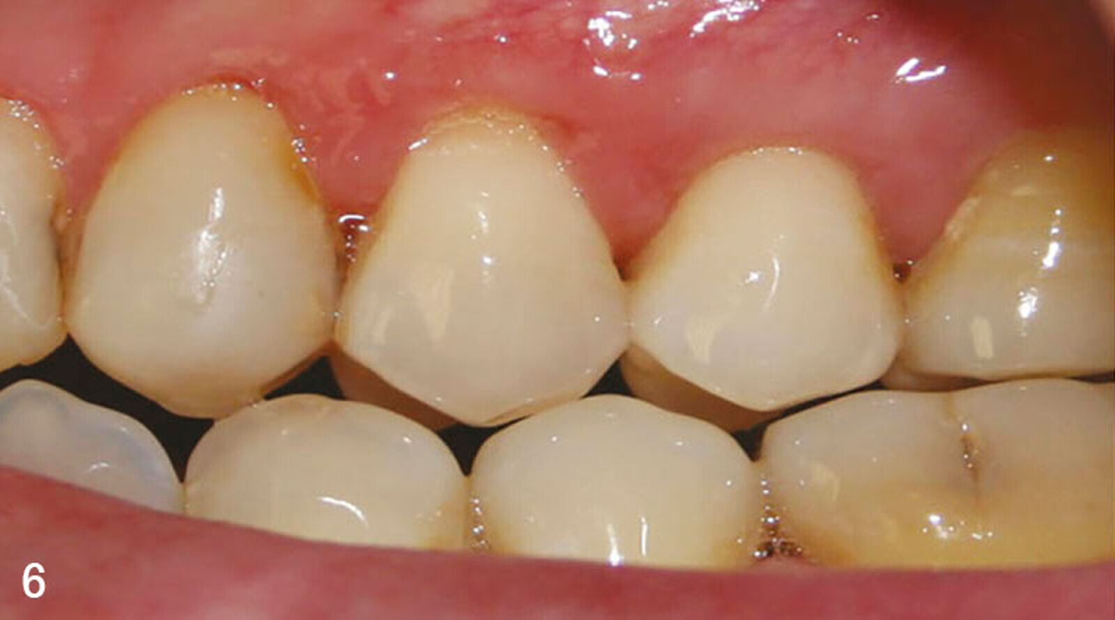
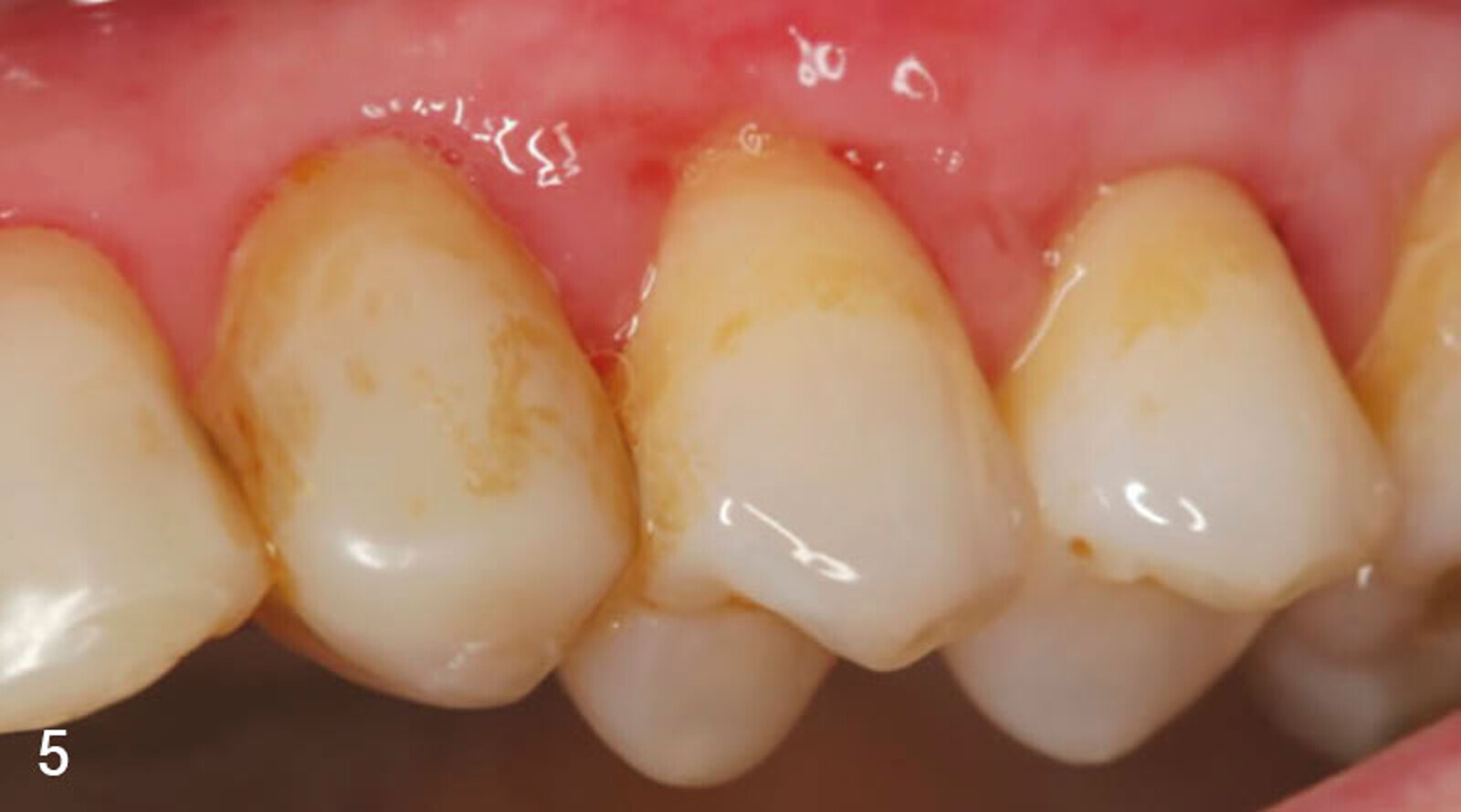
Excellent healing at 2 & 3 months; all remaining sutures removed (Figs 5-6)
This standardized protocol allows successful long-term functional results regarding alveolar bone regeneration and implant rehabilitation. The concept of ...
EthOss grafting in fully guided implant placement case with Paltop Guided Implant System. Female 51-year-old patient, non-smoker, non-contributory medical ...
Restoration of a mandibular first molar with an all-ceramic partial crown in a single treatment session is described in the present case. The Cerec 3D ...
To post a reply please login or register