Ως το πρώτο βιοενεργό υποκατάστατο οδοντίνης, το Biodentine TM μπορεί να χρησιμοποιηθεί όταν καταστρέφεται η οδοντίνη, σε μυλικές ή ριζικές εφαρμογές.
Βοηθά στην επανασβεστίωση της οδοντίνης, διατηρεί τη ζωτικότητα και προάγει την επούλωση του πολφού.
Αντικαθιστά πλήρως την οδοντίνη αφού εμφανίζει παρόμοιες βιολογικές και μηχανικές ιδιότητες με εκείνη. Βελτιώνοντας την κλινική επεξεργασία του Biodentine TM , η Septodont ανακοινώνει ότι συγκολλώντας τη σύνθετη ρητίνη πάνω από το Biodentine TM στην ίδια συνεδρία έχουμε μια αποδεδειγμένα ασφαλή και αποτελεσματική αποκατάσταση του δοντιού.
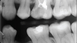
Η παρουσίαση ενός κλινικού περιστατικού σε ενός χρόνου επανεξέταση, δείχνει τη λειτουργικότητα της αποκατάστασης, ενώ η σύνθετη ρητίνη συγκολλήθηκε 12 λεπτά μετά την αρχική πήξη του υλικού. Ύστερα από ένα χρόνο η αποκατάσταση δεν παρουσίασε αλλοιώσεις και ο ακτινογραφικός έλεγχος δεν έδειξε την εμφάνιση δευτερογενής τερηδόνας.
Μια πρόσφατη μελέτη που έγινε στην Αμερική από Dental Advisor και το Πανεπιστήμιο της Maryland και παρουσιάστηκε ως πόστερ το Μάρτιο 2012 στο AADR συνέδριο στη Tampa της Φλόριντα, αποδεικνύει ότι το Biodentine TM έχει παρόμοιες φυσικές ιδιότητες συγκρινόμενο με τα υαλοϊονομερή εμφρακτικά υλικά. Έτσι η τοποθέτηση του Biodentine TM και της σύνθετης ρητίνης ως μια ολοκληρωμένη αποκατάσταση μπορεί να πραγματοποιηθεί σε μια μόνο συνεδρία.
Biodentine TM : το πρώτο και μοναδικό υποκατάστατο της οδοντίνης σε μια κάψουλα
1. Προετοιμάστε την κοιλότητα.
2. Αντικαταστήστε την ποσότητα της κατεστραμμένης οδοντίνης με Biodentine TM ίδιας ποσότητας.
3. Συγκολλείστε της σύνθετη ρητίνη περιμένοντας 12 λεπτά από την αρχική πήξη του υλικού για να ολοκληρώσετε την έμφραξη.
Μελέτες που αφορούν το ...
Αυτός ο μήνας αντικαρκινικής ...
Τα ευρήματα μίας νέας μελέτης ...
Η πλήρης ροή εργασιών που ...
Μέχρι πρόσφατα, οι συζητήσεις ...
Μέχρι πρόσφατα, οι συζητήσεις ...
Mία συνέντευξη με την ...
Live webinar
Τρι. 5 Μαΐου 2026
10:00 μμ (EET) Athens
Live webinar
Τετ. 6 Μαΐου 2026
8:00 μμ (EET) Athens
Live webinar
Πεμ. 7 Μαΐου 2026
3:00 πμ (EET) Athens
Ms. Ellen Karlin, Dr. Sara Karlin
Live webinar
Πεμ. 7 Μαΐου 2026
6:00 μμ (EET) Athens
Live webinar
Πεμ. 7 Μαΐου 2026
7:00 μμ (EET) Athens
Live webinar
Πεμ. 7 Μαΐου 2026
7:00 μμ (EET) Athens
Dra. Maria Carolina Erhardt, Dra. Thais Tomé Feldens
Live webinar
Πεμ. 7 Μαΐου 2026
9:30 μμ (EET) Athens
To post a reply please login or register