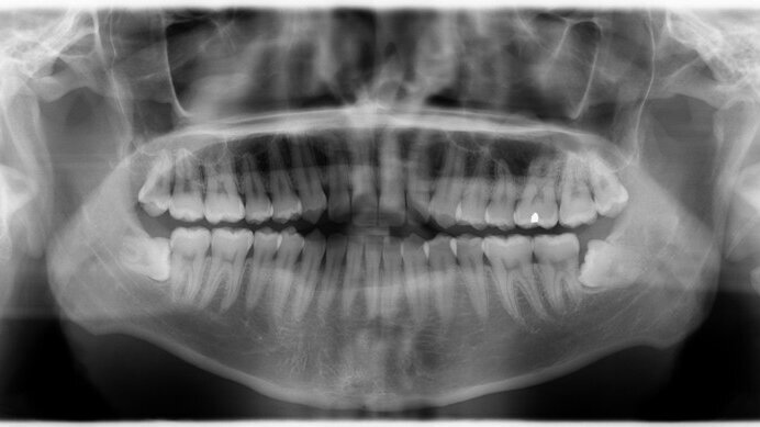
Πολλαπλές ενδοστοματικές ακτινογραφίες αυξάνουν τον κίνδυνο για τον καρκίνο του θυρεοειδή υποστηρίζουν ερευνητές από τη Βρετανία (Μπράιτον και Κέμπριτζ) με μελέτη τους που δημοσιεύτηκε στο ιατρικό περιοδικό Acta Oncologica.
Η ερευνητική ομάδα αναφέρει ότι τα περιστατικά καρκίνου του θυρεοειδή έχουν διπλασιαστεί στη Βρετανία από το 1975. Συγκεκριμένα, αυξήθηκαν από 1,4 περιστατικά στους 100.000 το 1975 στα 2,8 περιστατικά το 2006. Επισημαίνουν βέβαια ότι για την αύξηση του καρκίνου του θυρεοειδή ευθύνονται πολλαπλοί παράγοντες και όχι αποκλειστικά οι διαγνωστικές μέθοδοι. Χρειάζεται περαιτέρω μελέτη, υπογραμμίζουν.
Της ερευνητικής ομάδας ηγείτο ο Dr. Anjum Memon, καθηγητής και Σύμβουλος Δημόσιας Υγείας στην Ιατρική Σχολή των πανεπιστημίων Μπράιτον και Σάσεξ.
Ο θυρεοειδής αδένας στο λαιμό, εκτίθεται σε ακτινοβολία από τις πολλαπλές ενδοστοματικές ακτινογραφίες. Ο αδένας έχει ευαισθησία στην ιονίζουσα ακτινοβολία, ειδικά στα παιδιά. Οι ερευνητές σημειώνουν ότι η ενδοστοματική ακτινογραφία, μια πηγή χαμηλής ακτινοβολίας για διαγνωστικούς σκοπούς συχνά δεν θεωρείται δυνητικός κίνδυνος για το θυρεοειδή αδένα.
Οι ερευνητές μελέτησαν 313 ασθενείς στο Κουβέιτ που όλοι είχαν καρκίνο του θυρεοειδή. Στη χώρα αυτή η οδοντιατρική θεραπεία είναι δωρεάν. Σε σύγκριση με άλλες χώρες, η συχνότητα εμφάνισης του καρκίνου αυτού στο Κουβέιτ είναι υψηλή. Παρόλο που η μελέτη αυτή είναι μια από τις μεγαλύτερες που έχουν διεξαχθεί στο θέμα, οι ερευνητές σημειώνουν ότι τα αποτελέσματα πρέπει να αντιμετωπιστούν με προσοχή, καθώς τα δεδομένα συλλέχθηκαν από τους ίδιους τους συμμετέχοντες. Οι ερευνητές πιστεύουν ότι η μελέτη τους παρέχει ισχυρά πειστήρια ώστε να ενθαρρυνθεί περαιτέρω η έρευνα σε χώρες και εγκαταστάσεις όπου τα αρχεία ιστορικού των ενδοστοματικών ακτινογραφιών είναι διαθέσιμα και όπου η δόση της ακτινοβολίας μπορεί να εκτιμηθεί με βεβαιότητα.
Όπως σημειώνει ο Dr Memon, «η μελέτη μας υπογραμμίζει την ανησυχία οι ακτινογραφίες θώρακος και οι ενδοστοματικές να συνταγογραφούνται όταν ο ασθενής έχει μια συγκεκριμένη κλινική ανάγκη και να μη γίνονται μέρος μιας τυπικής εξέτασης».
Μία μικτή ερευνητική ομάδα από ...
Γιατροί και ειδικοί στους ...
Η εταιρία μας, μετά την κατά κοινή ...
Μία συνέντευξη με την Dr. Mona Patel και τον Dr. Marcus Riedl
Οι περιορισμοί που αίρονται, ...
Στη πέμπτη θέση στο κατάλογο ...
Μία συνέντευξη με τον ...
Αξιότιμα μέλη της Ακαδημαϊκής ...
Dr. Bruce McFarlane Certified Specialist in Orthodontics Fellow: Royal College of Dentists of Canada Diplomate: American Board of Orthodontics
Live webinar
Τετ. 15 Απριλίου 2026
9:00 μμ (EET) Athens
Live webinar
Πεμ. 16 Απριλίου 2026
3:00 πμ (EET) Athens
Linda Hecker MS, BSDH, RDH
Live webinar
Πεμ. 16 Απριλίου 2026
7:00 μμ (EET) Athens
Dr. Pär-Olov Östman, Dr. Robert Gottlander DDS
Live webinar
Παρ. 17 Απριλίου 2026
7:00 μμ (EET) Athens
Live webinar
Παρ. 17 Απριλίου 2026
8:00 μμ (EET) Athens
Dr. Stuart Yeaton BDentSc, MOrth
Live webinar
Δευ. 20 Απριλίου 2026
8:00 μμ (EET) Athens
Dr. Alberto Monje DDS, MS, PhD
To post a reply please login or register