Τα ανθρώπινα δόντια εμπεριέχουν στοιχεία για την έλλειψη της βιταμίνης D και Καναδοί ανθρωπολόγοι έχουν βρει σήμερα πως αυτή το σοβαρό αλλά συχνά ''κρυφό'' πρόβλημα μπορεί να ανιχνευθεί με μία απλή οδοντιατρική ακτινογραφία. Ο εντοπισμός ατόμων που μπορεί να έχουν εμφανίσει έλλειψη της βιταμίνης D παρουσιάζει σημαντικές προοπτικές για την περαιτέρω κατανόηση των παραγόντων που μπορεί να έχουν υποβαθμίσει την υγεία αυτών των ανθρώπων στο παρελθόν.
Οι ερευνητές του Πανεπιστημίου McMaster καθηγήτριες M.Brickley, L. D'Ortenzio και οι συνάδελφοί τους είχαν ανακαλύψει παλαιότερα πως τα ανθρώπινα δόντια διατηρούν μία λεπτομερή και μόνιμη καταγραφή σοβαρής έλλειψης σε βιταμίνη D. Αυτή φαίνεται ως μικροσκοπικές παραμορφώσεις της οδοντίνης και μπορεί να είναι εξαιρετικά πολύτιμο στοιχείο για να κατανοήσουμε με ακρίβεια πότε οι άνθρωποι, ακόμη και όσοι έζησαν πριν από αιώνες, στερούνταν το φως του ήλιου, που ήταν απαραίτητο για την παραγωγή βιταμίνης D από το σώμα.
Τα στοιχεία αυτά διατηρούνται στην αδαμαντίνη, που προστατεύει τα δόντια από την κατάρρευση, αντίθετα με τα οστά, επειδή υποβάλλονται στη φθορά από την οδοντική τερηδόνα. Το πρόβλημα με την εξέταση αυτών των παραμορφώσεων είναι πως θα πρέπει το δόντι να διανοιχθεί για να παρατηρηθούν οι σχηματισμοί που αποτελούν τις ενδεικτικές παραμορφώσεις και η προσφορά δοντιών μετά θάνατο προς μελέτη είναι περιορισμένη.
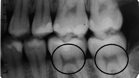
Για να αποφευχθεί η απώλεια πολύτιμων δειγμάτων, οι ερευνητές αναζήτησαν έναν τρόπο να απομονώσουν δόντια για περαιτέρω διερεύνηση. Χρησιμοποιώντας ακτινογραφίες για να μελετήσουν την άμεσα παρατηρήσιμη μορφολογία των πολφικών κεράτων, οι ερευνητές βρήκαν ένα σταθερό και αναγνωρίσιμο τρόπο που θα μπορούσε να βοηθήσει τόσο στις μελέτες αρχαιολογικών δοντιών, καθώς και σε ανθρώπους που μπορεί να μη συνειδητοποιούν πως εμφανίζουν έλλειψη βιταμίνης D.
Η πολφική μορφολογία σε ένα υγιές δόντι προσομοιάζει ένα τόξο που στην κορυφή εμφανίζει δύο προεκτάσεις σαν ''αυτιά γάτας'', αλλά σε έναν άνθρωπο με σοβαρή έλλειψη βιταμίνης D είναι ασύμμετρο και περιορισμένο, μοιάζοντας περισσότερο με το προφίλ μίας καρέκλας με σκληρή πλάτη.
Η έρευνα των D'Ortenzio, Brickley στο παρελθόν είχε υποδείξει ένα τέτοιο αναγνωρίσιμο μοτίβο και η εξέτασή τους τόσο παλαιότερων όσο και σύγχρονων δοντιών απέδειξε πως οι ακτινογραφικές εικόνες συμβαδίζουν και είναι αξιόπιστοι δείκτες της προηγούμενης έλλειψης.
''Επρόκειτο για μία σημαντική ανακάλυψη. Δεν έμοιαζε απλώς διαφορετικό. Ήταν διαφορετικό'', όπως θυμάται η Brickley, Πρόεδρος της Βιοαρχαιολογίας Ανθρωπίνων Νοσημάτων στον Καναδά. ''Πιστεύω πως είναι πραγματικά σημαντικό. Ήταν μία εργασία με στόχο να εξεταστούν περισσότερο άνθρωποι που έζησαν στο παρελθόν, αλλά μπορεί να συμβάλλει εξίσου και στην υγεία των σύγχρονων ανθρώπων.''
Επειδή οι επιπτώσεις της έλλειψης βιταμίνης D μπορεί να είναι σοβαρές-ειδικά όσον αφορά την υγεία των οστών-ο εντοπισμός των ανθρώπων που εμφάνισαν έλλειψη στο παρελθόν μπορεί να βοηθήσει στην αναγνώριση ανθρώπων που μπορεί να εμφανίζουν συνεχιζόμενα προβλήματα για πρόληψη χειρότερων βλαβών, σύμφωνα με τους ερευνητές. Αν οι οδοντιατρικές ακτινογραφίες δείχνουν ένα πρόβλημα, οι αιματολογικές εξετάσεις μπορούν να επιβεβαιώσουν αν υπάρχει έλλειψη.
Η γνώση περισσότερων στοιχείων για σταθερή έλλειψη σε βιταμίνη D μπορεί να βοηθήσει επίσης στον προσδιορισμό της καλύτερης ισορροπίας μεταξύ της προστασίας των ανθρώπων από επιβλαβείς υπεριώδεις ακτινοβολίες και στην εξασφάλιση επαρκούς έκθεσης στον ήλιο για να διατηρούν ένα υγιές επίπεδο αυτού του ζωτικού συστατικού.
Ακόμη και στην Ελλάδα με τα μεγάλα ποσοστά ηλιοφάνειας μεγάλο μέρος του πλυθησμιακού...
Ερευνητές από το Πανεπιστήμιο ...
Μία μικτή ερευνητική ομάδα από ...
Ο νέος φούρνος από την Ivoclar Vivadent ...
Νέα trends, νέες συνήθειες
Το Υπουργείο Παιδείας ανακοίνωσε, τέλη Αυγούστου, τις βάσεις εισαγωγής στην ...
Με στόχο να βοηθήσει τους ...
Μύθος αποδεικνύεται τελικά ...
Πολλαπλές ενδοστοματικές ...
Live webinar
Τετ. 15 Απριλίου 2026
9:00 μμ (EET) Athens
Live webinar
Πεμ. 16 Απριλίου 2026
3:00 πμ (EET) Athens
Linda Hecker MS, BSDH, RDH
Live webinar
Πεμ. 16 Απριλίου 2026
7:00 μμ (EET) Athens
Dr. Pär-Olov Östman, Dr. Robert Gottlander DDS
Live webinar
Παρ. 17 Απριλίου 2026
7:00 μμ (EET) Athens
Live webinar
Παρ. 17 Απριλίου 2026
8:00 μμ (EET) Athens
Dr. Stuart Yeaton BDentSc, MOrth
Live webinar
Δευ. 20 Απριλίου 2026
8:00 μμ (EET) Athens
Dr. Alberto Monje DDS, MS, PhD
Live webinar
Τετ. 22 Απριλίου 2026
6:00 μμ (EET) Athens
MDT Andreas Chatzimpatzakis
To post a reply please login or register